970x125
A deviated septum is one of the most common but often overlooked causes of chronic nasal obstruction. In India, specialists point out that while almost everyone has a slight bend in the nasal septum, not all require treatment. The problem begins when this deviation narrows the airway significantly, disturbing breathing and leading to a series of related health issues.
970x125
Prevalence and causes
The prevalence of a deviated nasal septum (DNS) in India varies significantly across studies, with reported rates ranging from approximately 25% to over 85% in some populations. Studies in regions like the Northeast have found high rates, with one study showing 85.5% of 966 CBCT scans revealing some form of DNS. The prevalence also depends on the age group, with the incidence rising in children as they age, and it is more common in males in some studies and in females in others, with figures such as 70% in males versus 30% in females reported.
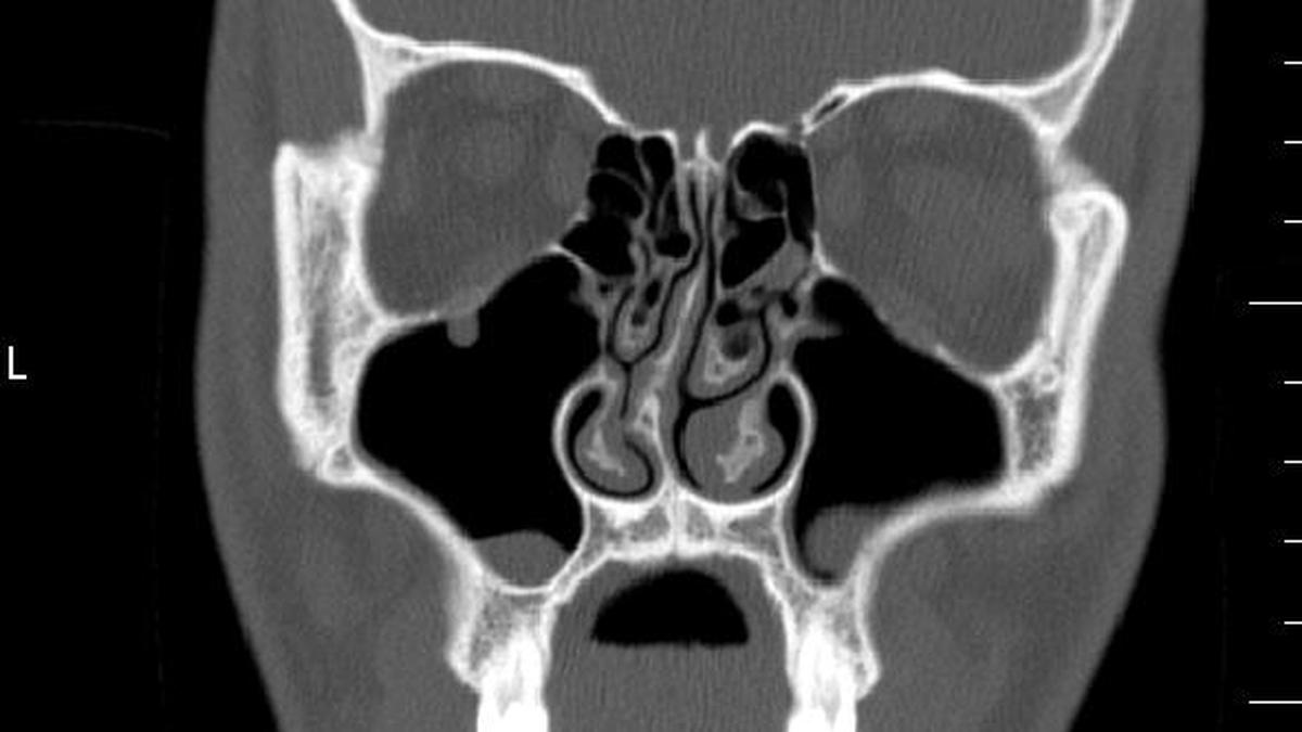
The nasal septum is the thin wall dividing the left and right nostrils. According to ENT surgeons, 80 to 90% of people have some form of deviation. “Septum deviation is quite common, but the amount of deviation is what determines the trouble,” says N. Ahilasamy, head and neck surgeon, Prashanth Hospitals, Chennai.
The causes are varied. Some are present from birth due to genetic factors or minor trauma during delivery. Others occur later, often from unnoticed childhood injuries, sports accidents, or road traffic collisions. “Families don’t remember small knocks, but they leave a bend,” says C. R. K. Balaji, ENT surgeon, VS Hospitals, Chennai. With age, the cartilage stiffens, making deviations more prominent and symptomatic.

Symptoms and diagnosis
Most people discover the problem when one side of the nose feels blocked. “The main thing patients say is, ‘one side of my nose is always blocked’,” Dr. Balaji explains. Alongside obstruction, patients may experience facial pain, repeated sinus infections, snoring, nosebleeds, or headaches after a long day.
For diagnosis, clinical examination remains the standard. “We can diagnose a bend just by examination and further confirm it with either an endoscopic examination or CT scan,” says Shruthi Sreekumar, associate consultant, ENT, Rela Hospital, Chennai. In some cases, a CT scan of the paranasal sinuses helps clarify associated disease.

Treatments barriers
A minor deviation may cause little discomfort, but severe deviation affects quality of life and long-term health. “Problems happen when the degree of deviation is marked, causing significant narrowing of one of the nostrils,” says Ammaiyappan Palaniswamy C., senior consultant, pulmonology, MGM Malar, Adyar, Chennai. Infections recur because blocked sinuses fail to drain, while chronic mouth breathing leads to dryness, sore throat and disturbed sleep.
While sleep apnoea is most often linked to obesity, septal deviation may worsen sleep-disordered breathing and snoring. “If left untreated, it can contribute to obstructive sleep apnoea, non-compliance to CPAP therapy, and sinonasal polyp formation,” adds Dr. Sreekumar.
The only corrective option is surgery, known as septoplasty. Decongestants and sprays ease symptoms temporarily but cannot straighten the wall. Specialists recommend surgery when symptoms persist despite medical management, or when complications such as bleeding or chronic sinusitis arise.
Traditionally, septoplasty was reserved for adults once facial growth was complete. “Nowadays we also operate on young patients, even as young as seven or eight years, when there is hardly any nasal breathing,” says Dr. Ahilasamy. However, these cases are exceptions and require careful counselling.
In India, access varies widely. In metropolitan centres, endoscopic septoplasty is routine and considered safe. In smaller towns, ENT services are less available. “Challenges are awareness, fear of surgery and cost,” explains K. Priya, senior consultant, ENT, SRM Global Hospitals Chennai. Although not expensive by surgical standards, financial constraints and lack of insurance awareness remain barriers.

Call for better awareness
Specialists underline the need for people to be able to access the right information. A common myth is that surgery alters the shape of the nose externally, when in fact septoplasty addresses only the internal wall. Others believe all deviations require surgery, which is not true. “Not all individuals with septal deviations are symptomatic and not all require surgical treatment,” says Dr. Priya.
Another misconception is expecting surgery alone to solve every nasal complaint. “Most cases with deviation also have allergies. Patients must know that the surgery is not the only solution; post-operative sprays and medication may be required,” explains Dr. Sreekumar.
ENT experts emphasise that awareness is key. As Priyanka Vignesh, senior consultant at SRM Global Hospitals, points out, “Many people think nasal blockage is mostly caused by allergies or colds, and they take decongestant drops for years without seeing a doctor. Having a blocked nose all the time is not normal and it needs medical attention.”
Specialists also caution that a one-sided nasal block, which often goes unnoticed or adjusted to, may well be the earliest sign of a deviated septum requiring evaluation.
Dr. Vignesh adds, “For those living with persistent nasal obstruction, do not ignore it or learn to live with it”. Consultations with specialists can bring clarity and in many cases, timely intervention can prevent years of discomfort and protect long-term health.
Published – September 10, 2025 05:00 pm IST
970x125
